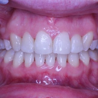
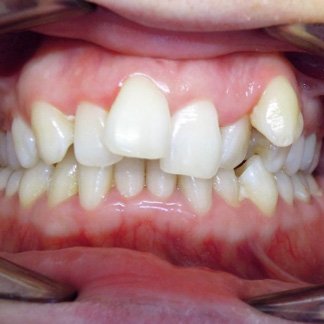
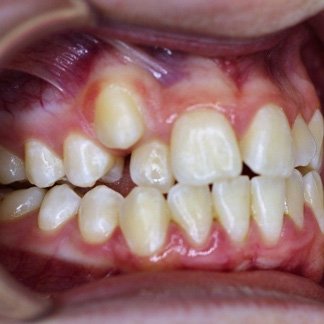
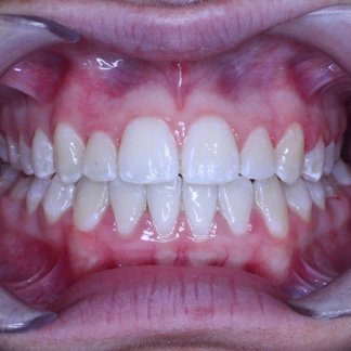
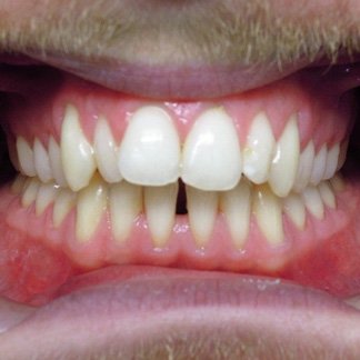
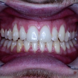
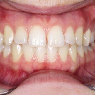
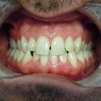
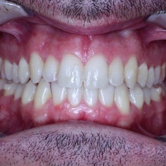
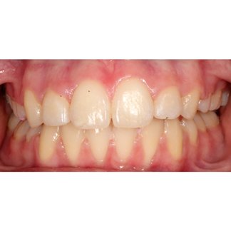
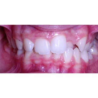
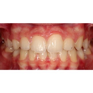
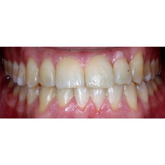
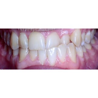
Patient case studies
Making sure our patients are completely happy with their smile is our final goal. See some of the dental cases Dr Claire O’Sullivan has successfully treated here.




Leanne




Ella




Joseph




Niamh




Stephen




Aobha




Liam




Liam
Find Us
Dublin Orthodontist is conveniently located just 15 minutes from Dublin City Centre and 5 minutes from the M50 Ballymun exit. We are in the College Gate Clinic just across from DCU college. Now accepting new patients from Glasnevin, Finglas, Drumcondra, Santry, Ballymun, and all surrounding areas.
- College Gate Clinic 123 Ballymun Rd Dublin 9 D09 W523
- 01 837 1144







